PUTRAJAYA, Jan 29 — The number of new leprosy cases in Malaysia increased by 40 per cent to 256 cases in 2023 compared to 183 cases the previous year, said Health Minister Datuk Seri Dr Dzulkefly Ahmad.
In conjunction with World Leprosy Day today, he said the increase was due to the strengthening of targeted case detection on the field.
"The strengthening of this activity is in line with the recommendations of the World Health Organisation (WHO) to achieve zero local leprosy cases by 2030.
"Early detection of cases and close contacts can control the spread of leprosy, while early treatment can reduce and prevent disease complications and permanent disabilities," he said in a statement.
The Health Ministry (MOH) also provided Single Dose Rifampicin prophylactic treatment to close contacts and at-risk communities, as recommended by the WHO as an additional measure in reducing the risk of leprosy.
World Leprosy Day is observed on the last Sunday of January annually to raise awareness among the public that the disease still exists and can affect those at risk.
The theme for World Leprosy Day this year is "Beat Leprosy," calling on individuals, communities, the government, and non-government agencies, as well as stakeholders to join efforts to prevent transmission and stop the spread of leprosy in Malaysia.
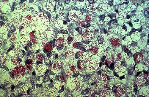
Dr Dzulkefly said individuals with symptoms and signs of leprosy infection should undergo a slit-skin smear or skin biopsy to confirm the diagnosis.
"The disease can be cured with Multi-Drug Therapy (MDT) taken daily for a period of six to 18 months.
"However, if treatment is delayed or not received, patients may develop complications such as blindness, weakness, and permanent disability in the muscles of the legs and arms," he said.
MOH called on all members of the community to engage in activities that could create awareness about leprosy.
"A positive and supportive environment for patients and individuals affected by leprosy is essential to improve their quality of life, end stigma and discrimination, and achieve zero new local leprosy cases," Dr Dzulkefly said.
— Bernama
[caption id="attachment_344195" align="aligncenter" width="838"]
A photograph of a patient suffering from leprosy, formerly known as Hansen's disease, whose thigh is demarcated with cutaneous lesions. — Picture via WIKIMEDIA COMMONS by the United States Department of Health and Human Services[/caption]







